Designer
|Nakayama
「知覚力」を磨いてワンランク上のデザイナーになろう!
公開日:2024/2/13
先日、法人教育コンサルタント/美術史学者の神田房枝さんの著書「知覚力を磨く」という本を読みました。
ざっくり言うと、この知覚力を身につけることによってビジネスセンスが養われていきますよ。という話なんですが、
自分ごととして捉えながら読んでいくと、これはデザイナーとしてのスキルアップに繋がる内容だなとも思ったので
今回はこの本の紹介をしていきたいと思います。
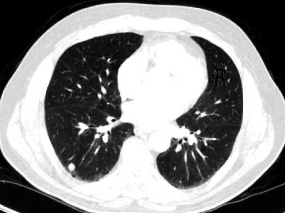
この画像の中にある異常を1つ見抜いてください

いきなりですが問題です。これは人間の胸部CT画像ですが、この中に1つ異常があるので探してみてください。
・
・
・
・
・
・
・
・
・
・
・
医者じゃないのに分かるかよ!っていう声が聞こえてきそうですが、難しいことではありません。
答えは、右上の方に小さいゴリラが写っています。
まさかと思ったのですが私もこれを見つけることができませんでした・・笑
なんとこの実験では、熟練した放射線科医でも 83%もそれを見逃していたと言う結果も出ています。
このように、私たちが普段見ているものでも実は見落としているものも多いんではないでしょうか?
些細なことであればいいですが、それが仕事や大きな決断事になってくるとその見落としって致命的ですよね。
人間の思考プロセス
人間の知的生産には、
「知覚→思考→実行」という3つのステージがあります。
①知覚:眼の前の情報を受容しながら解釈を施し、
②思考:それに対して問題解決や意思決定をした上で、
③実行:実際のコミュニケーションやパフォーマンスに落とし込んでいく
朝起きて夜寝るまでの1つ1つ行動全てにおいて私たちは、この3つのプロセスを踏んで生きています。
1つ目のプロセスである「知覚」を磨くことでそれ以降の質も変わってくるので大事だよねということが書かれています。
知覚力とは?
本にはこう書いてありました。
知覚とは、眼の前の情報を受け入れ、独自の解釈を加えるプロセス―。
あらゆる知的生産の“最上流”には知覚があります。
例えば目の前にグラスの中に水が半分入っている状況があったとして、それを見て、
「グラスの中に水が半分も入っている」
「グラスの中に水をあと半分しか入れることができない」
と言うように見た人それぞれが考えて物事を捉えること。
それが知覚です。
要するに知覚力とは、必要な情報を逃さず、状況に応じて適切に解釈する能力だと言えます。
知覚力を磨く方法とは?
本書では4つ紹介されています。
1つずつ要約していきたいと思います。
①知識を増やす
これまでの学習や経験から得た情報が多ければ多いほどより幅広い解釈の可能性が高まる。
②他者の知覚を取り入れる
人間1人の知識には限界があるため、自分にない知覚の幅を増やすためには、経験や背景がまるで異なる人物(業種・年齢・性別・国籍など)から取り入れる。
③知覚の根拠を問う
「なぜ自分はそのような意味づけをしたのか?」と常に自問することが大切。その根拠を検証し始めると、次々と新たな問いが生まれてくる。
④見る/観る方法を変える
自分の眼が何を、いかに見るのかをコントロールしていくことで世の中にある膨大な情報の見え方が変わってくる。
①〜③については脳に働きかけることで間接的に知覚をコントロールしようとする試みですが、
④は見る/観る方法ということで何に気を付けて見ればいいのか?という物理的な手法になり、実際に知覚力を磨くための最もパワフルな方法として書かれているので、次ではその方法を紹介したいと思います。
「絵画トレーニング」で知覚力を上げる
知覚力を磨く上で効果的な方法として「絵画トレーニング」が挙げられています。
そもそもなぜ絵画を見ることが最適とされているのかというと、バイアスが介入しづらい、フレームで区切られている、全体を見渡す力がつくといった理由があります。
そんな「絵画トレーニング」の中でもいくつか技法が紹介されていますが、そのうちの1つである「組織的に見る」という方法をこちらの絵画を通して紹介します。

具体的な見方としては
A.全体図に向かい、コンテクストと基本要素を把握する
B.フォーカルポイント(主役)を選び、その詳細を把握する
C.のこりを部分に分け、それそれの詳細を把握する
D.一歩下がって全体図を眺めながら解釈する
E.周縁部を確認し再解釈を検討する
の手順で行います。

そうすると絵画ってこのように分けて見ることができるんですね!
こうして分類した上でそのブロックごとに注目して見ていくと、ブロック同士を関連づけて見てみたり、作者の意図が深く読みとれたり、時代や歴史の背景が見えてきたりするわけです。
何も意識しないで見てしまうと、人物や物体などの主題だけに目が行ってしまい、その部分の詳細をじっくり見ようとしてしまいますが、目立たない要素や空いたスペース、四隅にも目を向けることがポイントです。
どの解釈が正解だというわけではないですが、こうした手順を踏むことによって複雑な全体図やぼやけていたものが解像度が上がり見えてくるものが増えてくるということになります。
その他にも絵画トレーニングの手法が書かれているので気になった方は本書を読んでみてください。
知覚力を磨く 絵画を観察するように世界を見る技法 [ 神田 房枝 ] 価格:1980円 |
まとめ
最初にも言いましたが、デザイナーというか自分自身に今めっちゃ必要なスキルだなと思いました。PhotoshopやIllustratorのいわゆるツールのスキルも大事ですが、それと同じくらい大事なのは思考プロセスだと思っています。でもこの本にもあったように、人間の思考プロセスの最上流にあるのがこの「知覚」でここでしっかり情報を受容できていないと、そもそもの思考がもしかすると間違った状態で思考してしまい違う方向性のデザインになってしまう恐れがあります。
ある程度経験を積んでくると経験則や過去の事例からデザインを考えがちになりますが(もちろん悪いことではない)それだけに頼ってしまうといいデザインって生まれない気がしています。デザイナーであればクライアントやディレクターなどから仕事が与えられると思いますが、何の目的がありどんな課題解決のためにデザインをするのかなど、まず全体像を見てからその要件の本質を見つけ出し、そのためにはこの情報をどう見せようかとかを考え、自分を取り巻くバイアスやノイズはできるだけ無くしたありのままの状態で仕事に向きあえるようになりたいですね。
絵画に触れる機会はほぼないので、絵を見にいくことを今年の目標にしてこの知覚力を高めていけたらなと思います。